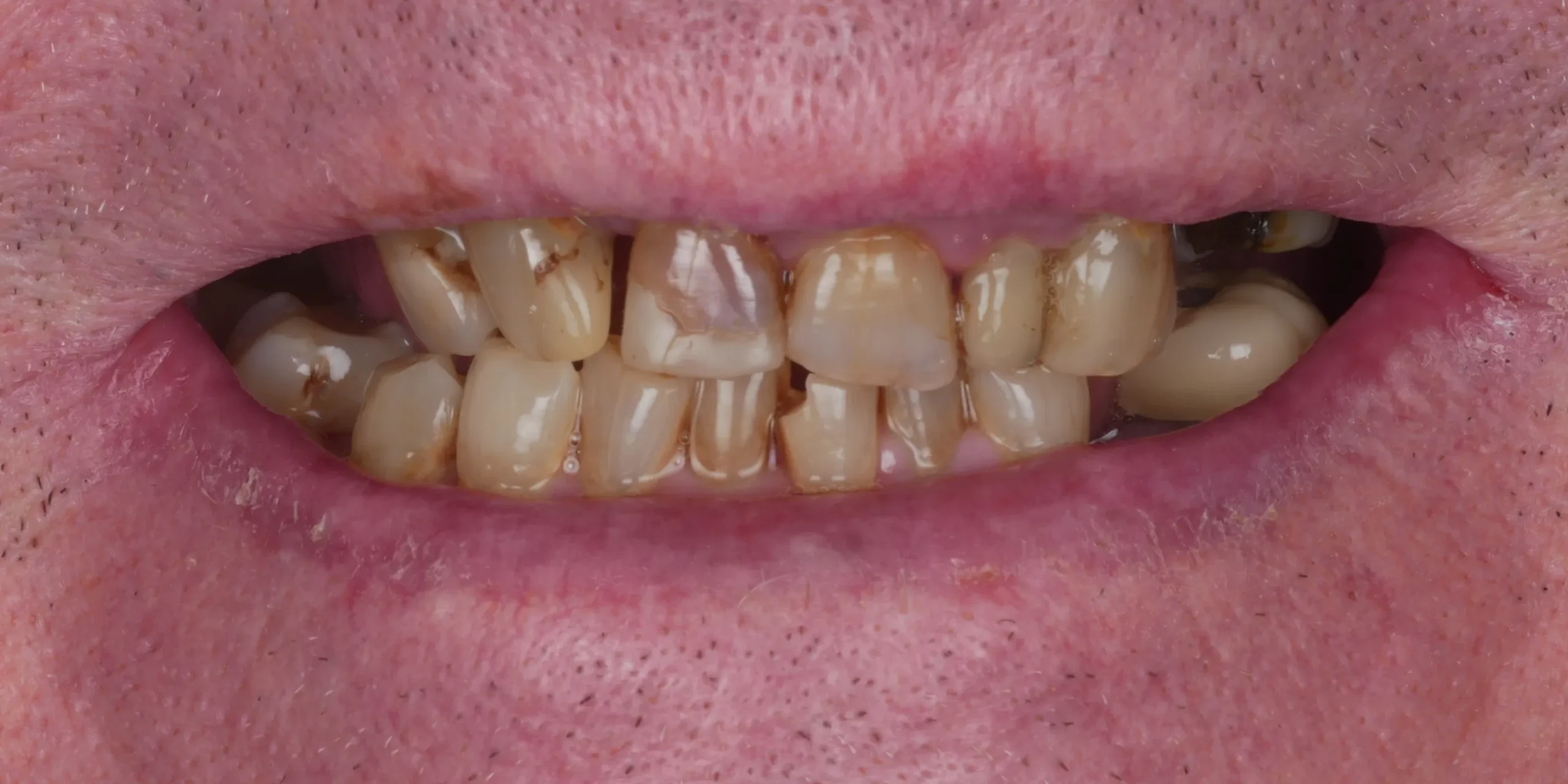
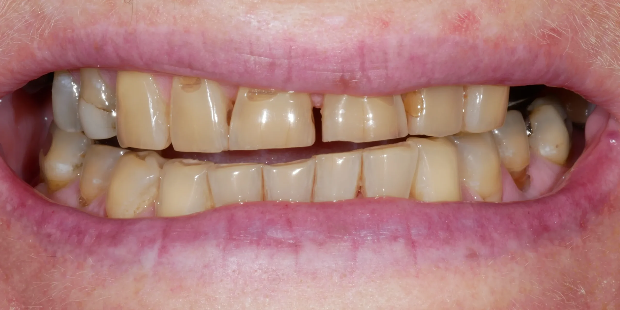
SGDC are Gippsland specialists in dentistry, providing world-class dentistry in Gippsland. All staff at SGDC make sure clients feel well cared for and calm during dental planning and then procedures.